Suplemento - Segundo Concurso de Carteles - Colegio de Endodoncia de Nuevo León, A. C.

SUPLEMENTO

 

X CONGRESO INTERNACIONAL DE ENDODONCIA
MEMORIAS
SEGUNDO CONCURSO DE CARTELES
COLEGIO DE ENDODONCIA DE NUEVO LEÓN, A. C.

MONTERREY, NUEVO LEÓN. 1, 2 Y 3 DE SEPTIEMBRE DE 2016.


CONTENIDO


Análisis del éxito y fracaso de tratamientos endodónticos: evaluación clínica y radiográfica.
Myriam Guadalupe Muñoz Torres, Fanny López Martínez, Ricardo Treviño Elizondo.

Aplicación de análisis de elementos finitos en endodoncia.
Esmeralda Lucero Hernández Treviño, Fanny López Martínez, Patricia N. Olivares Ponce.

Blanqueamiento interno a un diente con traumatismo.
Luis Alfonso Villarreal Escamilla, Evelin Patricia Gómez Ramírez, Idalia Rodríguez Delgado.

Caso clínico de un paciente con traumatismo.
Violeta Sarahí Jiménez González, Fanny López Martínez, Patricia Nohemí Olivares Ponce.

Causas de retratamiento endodontal en la clínica de pregrado.
Alejandra Chapa Hernández, Bárbara Andrea Vargas Salinas, Idalia Rodríguez Delgado, Fanny López Martínez.

Conducto medio mesial en primer molar inferior. Reporte de un caso.
Daphne Esmeralda Félix Pereyra, Marisol Elizabeth Bulnes García, Alejandro Podolsky Geluda.

Diagnóstico inadecuado de fistula intraoral y extraoral.
Gabriel Alvarado Cárdenas, Ivonne Vargas Liceaga, María Eugenia López V.

Efectividad antibiofilm de un gel con nano partículas de bismuto sobre Enterococcus faecalis intraconducto.
Marco Antonio Martínez Martínez, Jorge Jaime Flores Treviño, Claudio Cabral-Romero.

Manejo de una pulpitis purulenta.
Héctor Damián Hernández Zaragoza, Patricia Nohemí Olivares Ponce, Fanny López Martínez.

Manejo multidisciplinario de ameloblastoma.
Ignacio López Torres, Jorge Jaime Flores Treviño, Elizabeth Madla Cruz.

MTA vs Biodentine.
Mariana Lizeth Elizondo Alvarado, Fanny López Martínez, Arturo Santoy Lozano.

Protocolo de recubrimiento pulpar directo.
Ricardo Treviño Elizondo, Angélica Gloria Rodríguez Sepúlveda, Sara Angélica Vilchis Rodríguez.

Reabsorción radicular externa.
Roberto Sánchez Romo, Karen Lucía Reyes González, Susana Coromoto Gomes Acevedo.

Reabsorción radicular externa. Presentación de un caso clínico.
Adriana Garza De La Garza, Iris Liliana Espinoza García, Fanny López Martínez.

Regeneración endodóntica. Presentación de un caso clínico.
Anahí Recendes Santillán, Jorge Jaime Flores Treviño, Elizabeth Madla Cruz.

Regeneración pulpar en incisivo central superior. Reporte de un caso.
Adriana Briseyda Peña Bolaños, Gabriela Serna Peña, Mayra Guadalupe Martínez García.

Revascularización pulpar con irrigante alternativo en dos órganos dentarios con formación radicular incompleta.
Elma María Vega Lizama, Alberto Eduardo Escamilla Rodríguez, Marco Antonio Ramírez Salomón.

Revascularización. Reporte de un Caso Clínico.
Carlos Javier Avendaño Cantú, Fanny López Martínez, Patricia Olivares Ponce.

Tapón apical de Biodentine en el fragmento coronal en fractura radicular horizontal.
María Eugenia López Villanueva, Adilene Rodríguez Ramírez, Elma María Vega Lizama.

Tratamiento endodóntico en un diente con el síndrome del diente fisurado. Reporte de un caso.
Juan Francisco Ojeda Juárez, José Urian Llanas Ortiz, Idalia Rodríguez Delgado.

Tratamiento endodóntico-quirúrgico de un quiste periapical.
Jessica Patricia Arellano Barrientos, Jorge Jaime Flores Treviño, Idalia Rodríguez Delgado.






Análisis del éxito y fracaso de tratamientos endodónticos. Evaluación clínica y radiográfica.

Myriam Guadalupe Muñoz Torres, Fanny López Martínez, Ricardo Treviño Elizondo.

Facultad de Odontología, Universidad Autónoma de Nuevo León.


Resumen
Se pretende identificar la influencia que tienen sobre el éxito o fracaso del tratamiento de endodoncia ciertos factores biológicos y terapéuticos asociados a éste. Los pacientes tratados con un período postoperatorio de 5 y 10 años y que cumplieran con los requisitos establecidos para el estudio fueron evaluados clínica y radiográficamente, un total de 114 piezas tratadas endodónticamente equivalente a 207 raíces. De las cuales, 94 piezas fueron consideradas como éxito, 13 fracaso y 7 fueron considerados casos dudosos (82.5%, 11.4% y 6.1%, respectivamente); mientras que de las 207 raíces, 173 fueron evaluadas como éxito, 26 fracaso y 8 como casos dudosos (83.6%, 12.6% y 3.8%, respectivamente).

Palabras clave: Tratamiento de conductos, factores asociados, éxito, fracaso, pronóstico.

Abstract
The purpose of this study was to evaluate the long term results of endodontic treatments using a conventional technique and to identify the influence that certain biologic and therapeutic factors have on the success or failure of endodontic treatment. The patients treated 5 and 10 years ago and that fulfilled the requirements established for the study were called to make a clinic and radiographic reexamination, a total of 114 endodontic treated tooth with a total of 207 roots were evaluated.. Of the 114 teeth, in 94 the outcome of the endodontic treatment was considered as a success, in 13 as failure and in 7 uncertain (82.5%, 11.4% and 6.1%, respectively) ; of the 207 roots, 173 were evaluated as success, 26 as failure and 8 as uncertain (83.6%, 12.6% and 3.8%, respectively).

Key words: Endodontic treatment, factors associated, success, failure, prognosis.

INTRODUCCIÓN
Por el pronóstico de los tratamientos de conductos en diferentes situaciones analizando el efecto de los factores relacionados con el éxito y fracaso (Seltzer y Bender, 1965) por lo que surge la pregunta ¿Cuál es la tasa de éxito de un tratamiento de conductos o cuál es la magnitud de un fracaso endodónticos?.

Se han hecho muchos esfuerzos para contestar esta pregunta básica. Como se sabe los factores relacionados son la solución irrigadora utilizada, estado de salud general del paciente, dolor postoperatorio, presencia de resorción apical, operador, complicaciones durante el tratamiento, número de última lima utilizada para la limpieza del conducto, cantidad de sesiones de tratamiento, restauración postoperatoria y tipo de restauración definitiva en la pieza.

Por lo tanto, se busca conocer que ocurre a largo plazo con los tratamientos realizados por estudiantes de endodoncia.

MATERIALES Y MÉTODOS
Este estudio fue realizado en la Clínica de Endodoncia de la Facultad de Odontología de la Universidad Autónoma de Zacatecas en un periodo de 10 años (2003 – 2013), con el propósito de evaluar los resultados a largo plazo del tratamiento convencional de conductos realizado por estudiantes, así como identificar la influencia que tienen sobre el éxito o fracaso factores biológicos y terapéuticos.

Un total de 574 pacientes fueron atendidos realizándose 707 tratamientos de conductos radiculares los cuales se consideraron como grupo control, 84 pacientes acudieron al llamado evaluando 135 piezas de las cuales 21 fueron excluidas por haber sido extraídas previamente por causas desconocidas, dando como resultado un total de 114 tratamientos evaluados.

Asimismo, se revisaron todos los expedientes correspondientes a los períodos seleccionados y de ahí se incluyeron en el estudio únicamente los que reunieron los siguientes requisitos: 1) Expediente con datos completos: ficha de identidad, interrogatorio, diagnóstico y notas de evolución. 2) Tratamiento de conductos terminado, las piezas que solo fueron instrumentadas o que les fue colocado hidróxido de calcio, ya sea como apicoformación o como medicamento entre citas se excluyeron del estudio, por lo que sólo las piezas obturadas definitivamente fueron seleccionadas.

RESULTADOS
Al evaluar 114 piezas, 94 recibieron una evaluación de éxito, 13 de fracaso y 7 fueron considerados casos dudosos (82.5%,11.4% y 6.1% respectivamente) (Ver tabla 1).

Tabla 1. Evaluación radiográfica por pieza.


En la correlación del período de observación con la evaluación radiográfica los resultados no fueron estadísticamente significativos (p=0.08296). (ver tabla 2)

Tabla 2. Incidencia de éxito de acuerdo al período de observación postoperatorio.


Al correlacionar el tipo de restauración efectuada con la evaluación radiográfica se encontró que las piezas no restauradas tuvieron un 63.6% de éxito, a las que se les colocó poste y corona 85.7% de éxito, las dos piezas que se restauraron con obturación de amalgama recibieron una evaluación de éxito, al igual que las siete piezas que se les colocó solo un poste y las cinco piezas que recibieron corona de acero provisional como restauración; el único caso restaurado por medio de una corona total sin poste se calificó como fracaso; por lo anterior, el tipo de restauración resultó tener una dependencia significativa con los resultados del tratamiento.

Tabla 3. Correlación del tipo de restauración que presentaron las piezas reexaminadas con la evaluación radiográfica por pieza.


CONCLUSIONES
Los factores que se pudieron identificar como determinantes para un mayor éxito de los tratamientos fueron un nivel de obturación ideal y la ausencia de lesión periapical preoperatoria, mientras que los factores con mayor influencia negativa en el tratamiento son un estado de necrosis pulpar, presencia de lesión periapical preoperatoria, nivel de obturación corto del ápice radiográfico y la ausencia de restauración de la pieza tratada.


BIBLIOGRAFÍA
- Akerblom,A, Hasselgreen,G. (1988). The prognosis for endodontic treatment of obliterated root Canals. J. of Endodontics 14:565-7.

- Allen,R,.Newton C.E.( 1989). A statistical analysis of surgical and non surgical endodontic retreatment cases. J. of Endodontics, 15:261-65.

- Alley BS, Kitchens GG, Alley LW, Eleazer PD.( 2004). A comparison of survival of teeth following endodontic treatment performed by general dentists or by specialists. Oral
Surg.; 98:115-18.

- American Association of Endodontics.( 2008). Success and failure in endodontics: A study guide. J. of Endodontics ; 34:1-6.

- Antrim,D.D.( 1983). Reading the radiograph: A comparison of viewing techniques. J. of Endodontics,9:502-5.

- Barbakaw,F.H.,Cleaton J.P.,Friedman,D.( 1980). An evaluation of 566 cases of root canal therapy in general dental practice 1:Dx.criteria and treatment details. J.of Endodontics, 6:456-60.

- Barbakaw,F.H.,Cleaton J.P.,Friedman,D.( 1980). An evaluation of 566 cases of root canal therapy in general dental practice 2: Postoperative observations . J.of Endodontics, 6:485-9.

- Bender,I.B.,Seltzer,S.,Soltanoff,W.( 1966). Endodntic success:a rappraisal of criteria.I and II, Oral Surgery Oral Medicine Oral Pathology Oral Radiology Endodontics., 22:780.

- Brynolf,I.(1978). Radiography of the periapical region as a diagnostic aid 1.Diagnosis of marginal changes. Dent. Radio and Photo,51:23-38.

- Brynolf,I.( 1979). Radiography of the periapical region as a diagnostic aid 2.Diagnosis of pulpal related changes. Dent. radio and Photo.,52:25-46.

- Cohen, S., Burns,R. (1998). Endodoncia: los caminos de la pulpa. Editorial Medicina Panamericana, 5ª edición . pp 945-989.

- Friedman S, Löst C, Zarrabian M, Trope M (1995). Evaluation of success and failure after endodontic therapy using glass ionomer cement sealer. J. of Endodontics 21:384- 90.

- Friedman S, Prognosis of initial endodontic therapy. (2002). Endodontic Topics, 2:59-88.

- Fristad I, Molven O, Halse A.( 2004). Nonsurgically retreated root-filled teeth – radiographic findings after 20 – 27 years. Int Endod J; 37:12-18.

- Gillen BM, Looney SW, Gu LS, Loushine BA, Weller RN, Loushine RJ, Pashley DH,Tay FR.( 2011). Impact of the quality of coronal restoration versus the quality of root canal fillings on success of root canal treatment: A systematic review and meta-analysis. J. of Endodontics; 37:895-902.

- Heling,B., Tamse, A.( 1970). Evaluation of the success of endodontically treated teeth, OralSurg.,30:533.

- Heling,B.,Kischinovsky.( 1979). Factors affecting successful endodontic therapy. J. of the British Endo., 12-2:83-9.

- Ingle,J., Taintor,J. (1985). Endodontics 3rd ed. Lea and Febiger . pp 26-53.

- Kerekes K, Tronstad L.( 1979). Long-term results ofendodontic treatment performed with a standardizedtechnique. J. of Endodontics 5:83-90.

- Liang YH, Gang L, Wesselink P, Wu MK.( 2007). Endodontic outcome predictors identified withperiapical radiographs and cone-beam computed tomography scans. J. of Endodontics ;37:326-31.

- Matsomoto,T.( 1987). Factors affectingcanal succesful prognosis of root canal treatment. J. of Endodontics.,13:239.

- Nair PN.( 2006). On the causes of persistent apical periodontitis: A review. Int. Endod. J.;39:249-281.

- Orstavik D, Qvist V, Stoltze K.( 2004). A multivariate analysis of the outcome of endodontic treatment. European Journal of Oral Science; 112:224-30.

- Pekruhn,R. B.(1986). The incidence of failure following single visit endodontic therapy. J. of Endodontics, 12:68-72.

- Strindberg LZ. (1956).The dependence of the results of pulp therapy on certain factors. An analytic study based on radiographic and clinical follow-up examination. Acta Odontol. Scand. 14:21.

- Weine, Franklin. ENDODONTIC THERAPY. The C.V. Mosby Co. 6th. ed. Saint Louis. 2004. Pp 1-27

- Wu MK, Shemesh H, Wesselink PR.( 2009). Limitations of previously published reviews evaluating the outcome of endodontic treatment. Int Endod J; 42:656-66.





Aplicación de análisis de elementos finitos en endodoncia.

Esmeralda Lucero Hernández Treviño, Fanny López Martínez, Patricia N. Olivares Ponce.

Facultad de Odontología, Universidad Autónoma de Nuevo León.


INTRODUCCIÓN
El análisis de elementos finitos (FEA) es un método de ingeniería para el análisis numérico de estructuras complejas en base a sus propiedades del material.

METODOLOGÍA
El procedimiento para el modelado directo en el caso de los dientes tratados endodónticamente, comienza con una tomografía computarizada de un diente extraído montado en un bloque de cera. En la endodoncia, utilizando el FEM, los parámetros de la geometría de la estructura tales como el diseño posterior, las propiedades del material, junto con la magnitud y dirección de la carga se puede cambiar fácilmente en la simulación, que es una ventaja significativa sobre los métodos experimentales. Mediante esta técnica se puede estudiar los cambios morfológicos antes y después de la instrumentación, resistencia a la fractura de instrumentos rotatorios, distribución del estrés durante la obturación, distribución térmica durante técnicas de obturación de onda continúa, morfología externa de las piezas dentales. Los resultados se obtienen en forma de tensiones representados como mapas de contorno de color codificado, en donde, cada color representa una magnitud particular de la tensión sometido individualmente en diversos componentes estudiados.

CONCLUSIÓN
Con este modelo de evaluación simulada se eliminarán en gran medida los errores experimentales y reducción del tiempo empleado en la investigación proporcionando datos precisos y confiables, siendo así un gran avance en el futuro de la investigación en Endodoncia.


BIBLIOGRAFÍA
- Silver-Thorn MB, Joyce TP (1999) Finite Element Analysis of Anterior Tooth Root Stresses Developed During Endodontic Treatment. Journal of Biomechanical Engineering; Transactions of the ASME 121:108-115.

- Ricks-Williamson LJ, Fotos PG, Goel VK, Spivey JD, Rivera EM, Khera SC (1995) A three-dimensional finite-element stress analysis of an endodontically prepared maxillary central incisor. Journal of Endodontics 21:362-327.

- Sathorn C, Joseph EA, Harold H (2005b) Effect of Root Canal Size and External Root Surface Morphology on Fracture Susceptibility and Pattern: A Finite Element Analysis. Journal of Endodontics 31:288-292.

- Chatvanitkul C, Lertchirakarn V (2010) Stress distribution with different restorations in teeth with curved roots: a finite element analysis study. Journal of Endodontics 36:115-118.

- Narang A, Saurav K, Nagle D, Bhardwaj A, Katoch V, Khandeparker RV. Finite element method and it’s theoretical basis in endodontics: A review. J Int Oral Health 2015; 7(10):1-4.





Blanqueamiento interno a un diente con traumatismo.

Luis Alfonso Villarreal Escamilla, Evelin Patricia Gómez Ramírez, Idalia Rodríguez Delgado.

Posgrado de Endodoncia, Facultad de Odontología, Universidad Autónoma de Nuevo León.


INTRODUCCIÓN

Los traumatismos dentarios son considerados como una urgencia dentro de la asistencia de la consulta dental, que deben ser tratados de inmediato, requieren de una exploración inmediata y controles a largo plazo, ya que pueden producir complicaciones y patología pasado un tiempo de haberlos padecido en los traumatismos dentales frecuentemente se ve afectada la pulpa con el consiguiente riesgo de desarrollar una infección odontógena, propiciada por la patología que se produce a nivel pulpar y periapical.


PRESENTACIÓN DEL CASO
Paciente de 15 años acude al Posgrado de Endodoncia a causa de un accidente de auto, presenta movilidad grado II en los dos centrales superiores, con cambio de coloración del 1.1, reacciona a la percusión y no reacciona al frío, el 2.1 reacciona al frío. Diagnóstico: necrosis pulpar con periodontitis apical asintomática. Se inicia el tratamiento de conducto de la 1.1 al estar necrótica y se instrumenta manualmente hasta lima 80, se deja con hidróxido de calcio en tres citas, el paciente se encuentra asintomático desde la primera cita. se decide colocar tapón con MTA en la cuarta cita y se deja que fragüe, a la siguiente cita se rellena con gutapercha termoplastificada y se coloca base de resina en la entrada al conducto, en la sexta cita se coloca el peróxido al 35% (Opalescence) para iniciar el blanqueamiento se le da una semana para revisión y se nota un claro cambio de color favorable por lo que no se decide aplicar otra vez el blanqueamiento.


CONCLUSIÓN
Los traumatismos dentales se presentan más frecuentemente en pacientes jóvenes y la mayoría de las veces necesitan ser tratados a la mayor brevedad posible para un mejor pronóstico.


BIBLIOGRAFÍA
- Trabert, K. C., Caputo, A. A., & Abou-Rass, M. (1978). Tooth fracture\ 3-A comparison of endodontic and restorative treatments. Journal of endodontics, 4(11), 341-345.

- Huang, G. T. J. (2008). A paradigm shift in endodontic management of immature teeth: conservation of stem cells for regeneration. Journal of dentistry, 36(6), 379-386.

- Mohammadi, Z., & Dummer, P. M. H. (2011). Properties and applications of calcium hydroxide in endodontics and dental traumatology. International endodontic journal, 44(8), 697-730.

- Joiner, A. (2006). The bleaching of teeth: a review of the literature. Journal of dentistry, 34(7), 412-419.

- Weiger, R., Kuhn, A., & Lost, C. (1994). Radicular penetration of hydrogen peroxide during intra]coronal bleaching with various forms of sodium perborate. International endodontic journal, 27(6), 313-317.





Caso clínico de un paciente con traumatismo.

Violeta Sarahí Jiménez González, Fanny López Martínez, Patricia Nohemí Olivares Ponce.

Facultad de Odontología, Universidad Autónoma de Nuevo León.


RESUMEN
Los traumatismos de piezas dentales se presentan con mucha frecuencia como accidentes, principalmente en niños al realizar actividades deportivas o juegos de contacto, mientras que en adultos son más comunes durante accidentes automovilísticos.

Se describe el caso de un paciente infantil con traumatismo debido a un golpe, dicho traumatismo comprometió la raíz del diente con una fractura horizontal en su tercio medio.

El paciente fue sometido a un tratamiento endodóntico hasta el tercio medio de la raíz, colocando un tapón de MTA hasta el nivel de la fractura.

El tratamiento oportuno de piezas traumatizadas, aumenta el pronóstico de dichas piezas, por lo que es importante que quien realice el tratamiento sea una persona calificada y entrenada para darle un manejo adecuado y preservar las piezas dentales afectadas.

Palabras clave: Traumatismo, fractura radicular, ferulizar, MTA (agregado de trióxidomineral).

ABSTRACT
Injuries of teeth occur very often as accidents mainly in children to perform sports activities or games of contact, while adults are more common during car accidents.

Describes the case of a child patient with trauma due to a coup, the trauma promised the root of the tooth with a horizontal fracture in its middle third.

The patient was subjected to endodontic treatment until the middle third of the root, by placing a cap of MTA to the level of the fracture.

Prompt treatment of traumatized parts, increases the prognosis of such parts, so it is important that who perform the treatment is a person qualified and trained to give an adequate management and preserve the affected teeth.

Key words: Trauma, root fracture, brace, MTA (mineral trioxide aggregate).


INTRODUCCIÓN
Los traumatismos en la dentición temporal son muy comunes, debido a que se encuentra en una etapa en la que los niños son muy activos y participan continuamente en actividades deportivas o juegos de contacto. Según Andreassen JO, uno de cada 10 individuos ha sufrido lesiones traumáticas durante su niñez y/o adolescencia. En éste artículo se describe el caso de un paciente infantil con traumatismo debido a un golpe, dicho traumatismo comprometió la raíz del diente con una fractura horizontal en su tercio medio.

PRESENTACIÓN DEL CASO
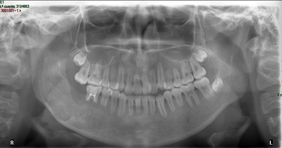
Paciente masculino de 10 años de edad refirió haber tenido un golpe hace 5 días aproximadamente. No refirió antecedentes patológicos.

A la exploración física refirió dolor a la percusión y palpación en la pieza 2.1, radiográficamente se observó fractura horizontal en el tercio medio de la raíz (Fig.1), por lo que se decidió ferulizar de la pieza 1.2 a 2.2 (Fig.2).

Fig. 1
Fig. 2


El paciente regresó a los 15 días, se le retiró la férula y se inició el tratamiento de endodoncia anestesiando al paciente, se colocó aislamiento absoluto para posteriormente realizar el acceso a la cámara pulpar con una fresa bola #4 de carburo de tallo largo, se tomó la longitud de trabajo con una lima #20, guiándonos con el localizador de ápices (Root ZX II), la cual fue de 16mm, tomando como punto de referencia el borde incisal (Fig.3).

Se instrumentó hasta la cavometría obtenida desde el borde incisal hasta la línea de la fractura con limas manuales. Se conformó el conducto hasta la lima #70 Flex-R. Se colocó Ultracal (hidróxido de calcio) como medicamento intra-conducto. Se colocó Cavit (ionómero de vidrio) como obturación provisional (Fig.4). Se citó al paciente 7 días posteriores.

Fig. 3
Fig. 4


En la siguiente cita se retiró el Ionómero de Vidrio y se irrigó con vibración ultrasónica pasiva para remover el hidróxido de calcio de las paredes dentinarias. Se secó el conducto con puntas de papel estériles.

Se obturó el conducto colocando un tapón de MTA (agregado de trióxido mineral) hasta el nivel de la fractura, llevando el material con los empacadores de Schilder 3/5 hasta el tope indicado, posteriormente se selló la parte cameral con Ionómero de Vidrio como obturación temporal (Fig.5).

Fig. 5



BIBLIOGRAFÍA
- Andreasen JO, Andreasen FM, Andersson L. Textbook and color atlas of traumatic injuries to the teeth, 4th edn. Oxford, UK: Wiley-Blackwell; 2007.

- Andreasen JO, Andreasen FM, Mejaré I, Cvek M. Healing of 400 intra-alveolar root fractures 2. Effect of treatment factors such as treatment delay, repositioning, splinting type and period and antibiotics. Dent Traumatol 2004;20:203–11.

- Andreasen JO, Andreasen FM, Skeie A, Hjörting-Hansen E, Schwartz O. Effect of treatment delay upon pulp and periodontal healing of traumatic dental injuries – a review article. Dent Traumatol 2002;18:116–28.

- Cvek M, Tsillingaridis G, Andreasen JO. Survival of 534 incisors after intra-alveolar root fracture in 7–17 years. Dent Traumatol 2008;24:379–87.

- Moule AJ, Moule CA. The endodontic management of traumatized anterior teeth: a review. Aust Dent J 2007;52(Suppl 1):S122–37.





Causas de retratamiento endodontal en la clínica de pregrado.

Alejandra Chapa Hernández, Bárbara Andrea Vargas Salinas, Idalia Rodríguez Delgado, Fanny López Martínez.

Facultad de Odontología, Universidad Autónoma de Nuevo León.


INTRODUCCION
Todo tratamiento odontológico está sujeto a posibles complicaciones. En la endodoncia estas pueden ocurrir principalmente por una iatrogenia del operador o por falta de un procedimiento restaurador definitivo y causar un fracaso del tratamiento. Al presentarse dicha situación está indicado realizar un retratamiento endodontal.

OBJETIVO
Identificar la causa más común de retratamiento endodontal dentro de la clínica de pregrado de la Facultad de Odontología.

MATERIALES Y MÉTODOS
Se realizó un estudio descriptivo donde se seleccionaron de manera aleatoria 50 expedientes clínicos de pacientes que recibieron retratamiento endodontal durante el periodo enero 2013 a enero 2015 y posteriormente se vació en una hoja de captura de datos. Se capturaron las principales causas de retratamiento entre las que se encontraron: filtración coronal, subobturación, tratamiento inconcluso y sobreobturación.

RESULTADOS
Fueron analizados mediante una estadística descriptiva. Se encontró como principal causa la filtración coronal con un 70%, seguido de las piezas dentales con una subobturación 18%, tratamiento inconcluso con 10% y por último como menos frecuente fue la sobreobturación de piezas tratadas endodónticamente con 2%.

CONCLUSIÓN
La causa más frecuente de retratamiento endodontal fue la filtración coronal.

Tabla I: Causas de retratamiento endodontal.


Tabla II: Distribución de retratamientos según la pieza y arcada afectada.


Tabla Ill. Causas de retratamiento en relación con presencia de dolor.




BIBLIOGRAFÍA
- Baumann, M.A.; Beer, R.; Kim, S. (2009) Atlas de Endodoncia. P. 212-213. Barcelona, España: Masson.• Canalda Sahli, Carlos, Brau Aguadè, Esteban. ENDODONCIA, técnicas clínicas y bases científicas. Ed. Masson, Barcelona 2001, capítulo 3.

- Cohen s, Burns (2009) Las vías de la pulpa. 8ª Edición Editorial Panamericana.

- Dr. Pedro Hernández (2009) Retratamientos Endodónticos. Pregrado del Centro de Clínicas Odontológicas de la Universidad de Talca.

- Guerrero, J. (2010). Retratamiento, tratamiento de primera elección para casos de fracaso endodóntico. Recuperado el 12 de marzo de 2010, de http://www.ecuaodontologos. com/revistaaorybg/vol1num1/retratamiento_tratamiento.html

- Institute of Oral Biology, Section of Oral Structures and Development, Center of Dental and Oral Medicine, University of Zürich(2014)Pathogenesis Of Apical Periodontitis And The Causes Of Endodontic Failures http://cro.sagepub.com/content/15/6/348.full

- Minju Song, MSD, Hyeon-cheol Kim, Woocheol Lee, y Euiseong Kim.(2011) Analysis of the Cause of Failure in Nonsurgical Endodontic Microsurgery 34 (11) 1516-1519.

- Pineda Mejía, M.E. (2003) Retratamiento no quirúrgico de fracasos endodonticos. P.14. Madrid, España: Elsevier España.

- Silva EJ (2012) A non surgical technique for the removal of overextended gutta-percha.

- Ureña, G. (2002). Evaluación de éxito y fracaso en tratamientos radiculares en la clínica de ULACIT, periodo 1997. Tesis de Licenciatura no publicada, ULACIT, San José, Costa Rica.

- Walton R, Torabinejad m .(2009) Endodoncia Principios y Práctica 4º Ed. Editorial Interamericana Mc. Graw Hill.





Conducto medio mesial en primer molar inferior; reporte de un caso.

Daphne Esmeralda Félix Pereyra, Marisol Elizabeth Bulnes García, Alejandro Podolsky Geluda.


Posgrado de Endodoncia, Facutad de Odontología, Universidad Autónoma de Nuevo León.


INTRODUCCIÓN
El éxito de un tratamiento endodóntico se basa en un conocimiento profundo de la anatomía del conducto radicular. Vertucci y William describen la presencia de tres conductos independientes en la raíz mesial, del primer molar inferior (Medio mesial). Es bien sabido que en el Sistema de Conductos Radiculares las variantes no están en casos aislados, son una constante en cualquiera de las piezas, más aún en los dientes multirradiculares, en donde hay mayor área para que se presenten. El Conducto Medio Mesial MM es una de estas variantes, se localiza en la raíz mesial de molares mandibulares, fue descrito en 1974 y desde entonces ha sido estudiado por muchos autores.

PRESENTACIÓN DEL CASO
Se presenta caso clínico de paciente femenino de 10 años de edad que ingresa a consulta odontológica en el Posgrado de Endodoncia de la UANL, para recibir atención debido a que presenta dolor odontogénico. Diagnóstico: Pulpitis irreversible OD3.6, el cual se determinó mediante pruebas de sensibilidad con frio (Endo ICE). Tratamiento: Se instrumentó mediante técnica fuerzas balanceadas y obturado mediante condensación lateral; haciendo uso de la magnificación. Resultados: el éxito de un tratamiento endodóntico se basa en un conocimiento profundo de las variaciones en anatomía del conducto radicular para lograr una limpieza, conformación y obturación adecuada.

CONCLUSIÓN
El primer molar inferior es, sin duda, junto al primer molar maxilar, el diente que más tratamientos de conductos precisa, al establecer un buen diagnóstico clínico y radiológico, es de suma importancia para elegir un plan de tratamiento adecuado e idóneo, que nos permita asegurar un tratamiento exitoso a largo plazo.


BIBLIOGRAFÍA
- Azim AA, Deutsch AS, Solomon CS.Prevalence of Middle Mesial Canals in Mandibular Molars after Guided Troughing under High Magnification: An In Vivo Investigation. J Endod 2015;41:164–168.

- Demirbuga S, Sekerci AE, Dinçer AN, Cayabatmaz M, Zorba YO. Use of cone-beam computed tomography to evaluate root and canal morphology of mandibular first and second molars in Turkish individuals. Med Oral Patol Oral Cir Bucal. 2013;18(4):e737-744.

- La SH, Jung DH, Kim EC, Min KS, Identification of independent middle mesial canal in mandibular first molar using cone-beam computed tomography imaging. J Endod 2010 Mar;36(3):542-545.

- Pomeranz HH, Eidelman DL, Goldberg MG. Treatment considerations of the middle mesial canal of mandibular first and second molars. J Endod 1981;7:565–568.

- Vertucci, F.J. and Williams, R.G. Root canal anatomy of the mandibular first molar. J NJ Dent Assoc. 1974; 45:27–28.





Diagnóstico inadecuado de fístula intraoral y extraoral.

Gabriel Alvarado Cárdenas, Ivonne Vargas Liceaga, María Eugenia López V.


Especialidad en Endodoncia, Universidad Autónoma de Yucatán.


INTRODUCCIÓN
El tracto sinuoso de origen odontogénico es una condición poco común que puede significar un diagnóstico difícil. Estos suelen ser el resultado de una necrosis pulpar. La localización del absceso determina si la fístula se desarrollará intraoral o extraoralmente, siguiendo el camino de menor resistencia hasta la piel. Generalmente estos pacientes no asocian estas lesiones en la cara a una patología dental.

PRESENTACIÓN DEL CASO
Paciente masculino de 20 años es remitido a la clínica de endodoncia de la FOUADY para verificar una posible causa dental de una lesión cutánea presente a la altura de la barbilla. El paciente refiere haber estado sometido bajo tratamiento dermatológico y posible cirugía para la eliminación de la lesión cutánea. Al paciente se le realizaron endodoncias y retratamiento en los O.D 3.2 y 4.2 ya que la lesión se presentó por 15 meses sin mejoría alguna. Actualmente refiere dolor en el área de los incisivos inferiores. Se le realizaron todas las pruebas pulpares y periapicales para establecer un diagnóstico acertado. Radiográficamente se observó una lesión periapical amplia que abarca los ápices de los O.D 3.1 y 4.1 que se extiende hasta los O.D 3.2 y 4.2. Diagnóstico: 3.1 Necrótico/ AAC, 3.2 previamente tratado/ PAC, 4.1 Pulpitis irreversible/ AAC, 4.2 previamente tratado/ PAC. Tratamiento: retratamiento de los O.D 3.2 y 4.2 y tratamiento de conductos de O.D 4.1

CONCLUSIÓN
Para el especialista en Endodoncia es fundamental realizar un diagnóstico acertado, para establecer un pronóstico y planificar la terapéutica correspondiente para cada situación clínica.


BIBLIOGRAFÍA
- Mittal N, Gupta P. Management of extra oral sinus cases: a clinical dilemma. J Endod. 2004;30:264-267.

- Johnson BR, Remeikis NA,Van Cura JE. Diagnosis and treatment of cutaneous facial sinus tracts of dental origin. J Am Dent Assoc. 1999;130:832-836.

- K. Swales, M. Rudralingam, S. Gandhi. Extraoral cutaneous sinus tracts of dental origin in the paediatric patient. A report of three cases and a review of the literature. International Journal of paediatric dentistry. 2015

- Pasternak, Junior B. Teixeira CS, Silva-Sousa YT, Sousa-Neto MD. Diagnosis and treatment of odontogenic cutaneous sinus tracts of endodontic origin: three case studies. Int Endod J 2009; 42: 271-276.

- Bodner L. Manor E, Joshua BZ, Barabas J, Szabo G. Cutaneous sinus tract of dental origin in children. A report of 28 new cases. Paediatr Dermatol 2013; 29: 421-425.

- Caliskan MK, Sen BH, Ozinel MA. Treatment of extra oral sinus tracts from Traumatized teeth with apical periodontitis. Endod Dent Traumatol 1995; 11: 115-120.

- Gondim Jo, Avaca-Crusca Js, Valentini SR, Zanelli CF, Spolidorio DM, Giro EM. Effect of a calcium Hydroxide/ chlorhexidine paste as intracal dressing in human primary teeth with necrotic pulp against Porphyromonas gingivalis and Enteroccus faecalis. Int J Padiatr Den 2012; 22:116-124.

- Chandra A. Discuss the factors that affect the outcome of endodontic treatment. AustEndod J. 2009 aug;35(2):98-107.

- Slutzky-Goldberg I, Tsesis I, Slutzky H, Heling I. Odontogenic sinus tracts cohort study. Quintessence Int. 2009; 40 (1): 13-8.





Efectividad antibiofilm de un gel con nanopartículas de bismuto sobre Enterococcus faecalis intraconducto.

Marco Antonio Martínez Martínez, Jorge Jaime Flores Treviño, Claudio Cabral Romero.


Laboratorio de Biología Molecular, Facultad de Odontología, Universidad Autónoma de Nuevo León.


INTRODUCCIÓN
El objetivo de este trabajo fue evaluar la actividad antibiofilm de un gel con nanoparticulas de bismuto (Gel-BisBAL NPs) sobre Enterococcus faecalis intraconducto.

PRESENTACIÓN DEL CASO
Se empleo una variante del modelo de goteo fluido para obtener un biofilm de E. faecalis intraconducto y se caracterizó por microscopia electrónica de barrido y microscopia de fluorescencia. El biofilm obtenido se expusó a 500µM del Gel-BisBAL NPs, 500µM de hidróxido de calcio o nada durante 24 h y se analizó por microscopia electrónica, y cuantificando la intensidad fluorescente. Adicionalmente el DNA bacteriano específico de E. faecalis fue detectado por PCR. Dentro de los resultados obtenidos las imágenes de fluorescencia muestran que después de 24h de tratamiento con el Gel-BisBAL NPs se removió el 99% del biofilm formado por E. faecalis, mientras que el hidróxido de calcio removió sólo el 16%. La detección por PCR del DNA bacteriano apoyó los resultados obtenidos previamente corroborando la propiedad antibiofilm del Gel-BisBAL NPs.

CONCLUSIONES
El Gel BISBAL-NPs superó con claridad al tratamiento convencional por lo que constituye una alternativa innovadora para remover el biofilm endodóntico.


BIBLIOGRAFÍA
- Mohammadi, Z., et al., 2013,36(2):59-70.

- Svensäter, G. and G. Bergenholtz 2004,9(1):27-36.

- Jhajharia, K., et al., 2015, 5(1):1-12.

- Donlan, R.M. and J.W. Costerton, 2002, 15(2):167-93.

- Davey, M.E. and A. O'Toole G, 2000. 64(4):847-67.

- Kishen, A., S. George, and R. Kumar, 2006. 77(2):406-15.

- Cross, S.E., et al., 2009. 25(12):1517-26.

- Guggenheim, M., et al., 2001, 67(3):1343-50.

- Tang, G., et al., 2004. 49(9):727-38.

- Fang, H.H., K.Y. Chan, and L.C. Xu, 2000, 40(1):89-97.





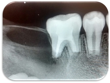
Manejo de una pulpitis purulenta.

Héctor Damián Hernández Zaragoza, Patricia Nohemí Olivares Ponce, Fanny López Martínez.


Facultad de Odontología, Universidad Autónoma de Nuevo León.


Resumen
La pulpitis purulenta puede derivar de diversos factores que afectan a la pulpa, es un estado irreversible, el cual requiere de un tratamiento de endodoncia o en segundo plano de una extracción. La selección de los materiales adecuados para el manejo de una pulpitis purulenta es clave para el éxito del tratamiento, así como conocimientos suficientes del operador, para que sepa guiar el tratamiento hasta el final. Después de terminar la endodoncia es preciso rehabilitar las piezas tratadas para mejorar su pronóstico en boca.

Abstract
Purulent pulpitis can be caused by several factors affecting the pulp, it is an irreversible state, which require an endodontic treatment or in other cases an extraction. Selection of suitable materials for handling of a purulent pulpitis is key for success of treatment, as well as knowledge of the operator, to guide treatment until the end. After endodontic treatment is necessary to restore the treated parts to improve their prognosis in mouth.


INTRODUCCIÓN
La pulpitis purulenta es una enfermedad inflamatoria en la cual la pulpa se encuentra vital, sin capacidad de recuperación ya que existe contenido purulento dentro de la pulpa, dolor intenso al calor y alivio al frío.

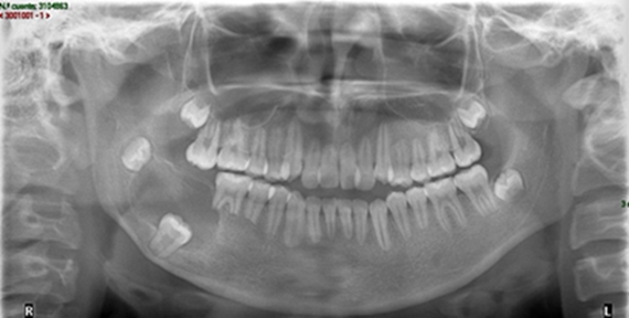
MÉTODOS
Se apreció lesión apical en la pieza 2.1 (imagen 1). Al realizar el acceso con una fresa bola de tallo largo #6 se tomó la radiografía de cavometría con la lima Flex R #20 a 20 mm (imagen 2), posteriormente se colocó pasta de hidróxido de calcio y se dejó durante un mes, después se tomó la radiografía de cronometría con cono #55. Se realizó la técnica de Crown Down para limpiar la parte coronal. Se instrumentó a partir de la lima #20 hasta la lima #55 master a 20 mm y se realizó retroceso hasta la lima #80. Al término del tratamiento se usó la técnica de condensación lateral combinada con vertical de gutapercha (imagen 3).

RESULTADOS
Después de siete meses se tomó una radiografía de control para verificar y revisar si hubo éxito clínico y se apreció como la lesión cedió totalmente. Para mejorar el tratamiento en boca de nuestro paciente fue preciso rehabilitar, con ayuda de un rehabilitador se procedió a colocar postes y coronas.

DISCUSIÓN
El manejo oportuno de una pulpitis purulenta y una adecuada restauración mejora el pronóstico de la pieza en boca, eso es clave en el éxito del tratamiento, pero también se requiere cooperación por parte del paciente, ya que él debe aceptar los tratamientos, dándosele a entender el porqué de estos, satisfaciendo las dudas que vaya teniendo y comentándole paso a paso como avanza el tratamiento. Otro factor determinante es la habilidad y conocimiento del operador, este no solamente debe tener conocimientos, si no la capacidad de poder sacar adelante los tratamientos que él vaya a realizar. Realizar alguna interconsulta con otro especialista, como en este caso un rehabilitador no debe ser motivo de pena, más bien, debería ser un motivo de mejoramiento para indicar correctamente la restauración posterior.

Imagen 1
Imagen 2
Imagen 3
Imagen 4




BIBLIOGRAFÍA
- Grossman L. Práctica Endodóntica. 3º Edición. Buenos Aires. Cap 2. 1973.

- Peters DD, Baumgartner JC, Lorton L. Adult pulpal diagnosis. I. Evaluation of the positive and negative responses to cold and electrical pulp tests. J Endod. 1994 Oct;20(10):506-11

- Glickman GN. AAE consensus conference on diagnostic terminology: and perspectives. J Endod 2009;35:1619.





Manejo multidisciplinario de ameloblastoma.

Ignacio López Torres, Jorge Jaime Flores Treviño, Elizabeth Madla Cruz.


Posgrado de Endodoncia, Posgrado de Cirugía Maxilofacial, Facultad de Odontología, Universidad Autónoma de Nuevo León.


INTRODUCCIÓN
El ameloblastoma es un tumor odontogénico benigno que puede ser localmente agresivo e invasivo1, es de origen epitelial2. Es responsable del 1% de todos los quistes y tumores orales en los maxilares, tiene alto porcentaje de recidiva y posible desarrollo maligno si no se trata adecuadamente3. Este tipo de tumor predomina en pacientes entre 20 y 30 de edad, aproximadamente el 10 a 15% de los ameloblastomas ocurre en pacientes menores de 18 de edad4. El 80% se localiza en el maxilar inferior, siendo el 70% específicamente en el ángulo de la mandíbula2.

PRESENTACIÓN DEL CASO
Paciente femenina de 16 años de edad proveniente de Dr. Arroyo, Nuevo León, es referida del Posgrado de Cirugía Maxilofacial para valorar las piezas 4.6 y 4.5 para endodoncia, llega con el diagnóstico de ameloblastoma en el ángulo de la mandíbula derecho. Los cirujanos planean hacer recesión quirúrgica para retirarlo. Diagnóstico: Ameloblastoma unilocular en el ángulo de la mandíbula con desplazamiento de 4.7 y 4.8. Plan de tratamiento: Se decide realizar endodoncia en el 4.6 y obturar con MTA los conductos para que posteriormente se pueda hacer la recesión quirúrgica del tumor; todo el tratamiento endodontal se realiza en 2 sesiones seguidas debido que la fecha de la intervención era cercana.

CONCLUSIONES
El manejo del ameloblastoma es un reto y requiere comprender el comportamiento y sus diferentes variaciones clínicas, actualmente la amplia resección quirúrgica y la inmediata reconstrucción es el tratamiento de elección en la mayoría de los ameloblastomas5.


BIBLIOGRAFÍA
1.- Abada RL, Kadiri F, Tawfik N, Benchakroun N et al; Multiple metastases of a mandibular ameloblastoma. Rev Stomatol Chir Maxillofac. 2005 Jun;106(3):177-80.

2. - Neville, Oral and maxillofacial pathology, 2nd edition; 611-613.

3. - Vayvada H, Mola F, Menderes A, Yilmaz M. Surgical management of ameloblastoma in the mandible: Segmental mandibulectomy and immediate reconstruction with free fibula or deep circumflex iliac artery flap (evaluation of the long-term esthetic and functional results). J Oral Maxillofac Surg. 2006 Oct; 64(10):1532-9.

4. - Johnson J, Jundt J, Hanna I, et al; Resection of an ameloblastoma in a pediatric patient and immediate reconstruction using a combination of tissue engineering and costochondral rib graft: A case report. J Am Dent Assoc. 2016 Jul 16. pii: S0002-8177(16)30504-9.

5. - Sham E, Leong J, et al; Mandibular ameloblastoma: clinical experience and literature review. ANZ J Surg. 2009 Oct; 79(10):739-44.

10 de Febrero del 2015
24 de Marzo del 2015
Se contrarefiere a Cirugía Maxilofacial para la enucleación quirúrgica.
9 de septiembre del 2015
Después de retirar el ameloblastoma 6 meses de control.






MTA vs. Biodentine.

Mariana Lizeth Elizondo Alvarado, Fanny López Martínez, Arturo Santoy Lozano.


Departamento de Endodoncia, Facultad de Odontología, Universidad Autónoma de Nuevo León.


Resumen
Los materiales dentales han sido parte importante en el diario evolucionar de la estomatología y gracias a los grandes adelantos tecnológicos y bioquímicos, se ha logrado una generación de nuevos elementos con mejores propiedades físicas, químicas y biológicas. El fracaso endodóncico da como resultado una periodontitis apical crónica recurrente, ante lo cual debemos realizar un retratamiento. Aunque, la complejidad del sistema de conductos radiculares, instrumentación inadecuada y la presencia de barreras físicas, podrían complicar el pronóstico. El material de retroobturación más usado en apicectomía hoy en día es el MTA, pero en busca del material ideal se ha introducido al mercado un nuevo cemento llamado Biodentine.

Palabras clave: Reparación, cicatrización, tejido pulpar.

Abstract
Dental materials have been an important part in the daily evolution of stomatology and thanks to the great technological and biochemical advances, there has been a generation of new elements with improved physical, chemical and biological properties. Endodontic failure results in recurrent chronic apical periodontitis, to which we must make a retreat. Although the complexity of the root canal system, inadequate instrumentation and the presence of physical barriers, could complicate the forecast. The most retrograde filling material used in apicectomy today is the MTA, but in search of the ideal material has been introduced to the market new cement called Biodentine.

Key words: Repair, healing, pulp tissue.


INTRODUCCIÓN
En la odontología actual y moderna se han creado nuevos materiales biocompatibles como son el MTA y Biodentine pertenecientes a los cementos de silicato de calcio, que con el paso del tiempo se han convertido en el material de preferencia para la reparación de defectos dentinarios o comunicaciones entre el sistema de conducto radicular y el ligamento periodontal. La utilización de estos cementos modernos en la práctica endodóncica ayudan al profesional a tomar una decisión más eficaz para conllevar un mejor tratamiento para la situación que presente el paciente.


MTA
El agregado de trióxido mineral (MTA) ha sido estudiado ampliamente como material para sellar las comunicaciones entre el sistema de conductos radiculares y los tejidos perirradiculares. Este material es prometedor para utilizarse tanto en perforaciones radiculares como en obturaciones retrógradas y en el tratamiento de exposiciones pulpares, gracias a que tiene la cualidad de formar puentes dentinarios, ser biocompatible, pH alcalino y que no favorece la inflamación.

El MTA es un polvo que consta de partículas finas hidrofílicas que fraguan en presencia de humedad. La hidratación del polvo genera un gel coloidal que forma una estructura dura.

El material MTA está compuesto principalmente por partículas de:
   • Silicato tricálcico.
   • Silicato dicálcico.
   • Aluminato férrico tetracálcico.
   • Sulfato de calcio dihidratado.
   • Óxido tricálcico.
   • Óxido de silicato.

El tiempo de fraguado del material está entre tres y cuatro horas. El MTA es un cemento muy alcalino, con un pH de 12.5, tiene una fuerza compresiva baja, baja solubilidad y una radio- opacidad mayor que la dentina.


Biodentine
El Biodentine, otro material de obturación basado en el silicato tricálcico, es un sustituto bioactivo de la dentina, tiene propiedades mecánicas similares a la dentina sana y puede sustituirla tanto a nivel de cuello de la raíz, sin tratamiento superficial previo de los tejidos calcificados. Contiene principalmente minerales de alta pureza y libre de monómeros, es totalmente biocompatible. Logra las condiciones óptimas para la preservación de la vitalidad pulpar, proporcionando un sellado en la dentina. Esto asegura la ausencia de sensibilidad post-operatoria y a durabilidad de las restauraciones de dientes en la pulpa vital.

El objetivo de la terapia pulpar vital para el tratamiento de las lesiones pulpares reversibles en los dientes permanentes y primarios es el mantenimiento de la vitalidad y la función de la pulpa. En dentición decidua es importante preservar el diente hasta que su tiempo de exfoliación natural se complete para preservar así la integridad del arco dental. El recubrimiento pulpar directo y la pulpotomía en los casos de exposición pulpar es uno de los enfoques terapéuticos de la terapia pulpar vital. La pulpotomía continúa siendo el tratamiento más común para las pulpas expuestas por caries en los molares deciduos.

Se ha observado que el Biodentine favorece la cicatrización cuando se aplica directamente sobre el tejido pulpar, pues aumenta la proliferación, la migración y la adhesión de las células pulpares madre, lo que confirma sus características bioactivas y de biocompatibilidad. Se conllevó que el resultado final de fraguado de este material, en comparación con el MTA es alrededor de 12 minutos.



CONCLUSIÓN
Existen gran cantidad de materiales dentales de uso en endodoncia, los cuales se clasifican de acuerdo al uso clínico y composición. Cada uno tuvo que cumplir una serie de requisitos para su aprobación y que aún en las pruebas más rigurosas hay un margen de tolerancia, ya que todavía no existe el material que se considere como ideal. Se toma por conclusión que ambos materiales de retrooburación en la práctica profesional son muy útiles para el odontólogo, ambos tienen características y beneficios que pueden tomar un camino eficaz para conllevar el finalizado de un tratamiento endodóncico con éxito.



BIBLIOGRAFÍA
- Chaple Alain and Herrero Lien. Generalidades del agregado del trióxido mineral (MTA) y su aplicación en Odontología.

- Correa María and Castrillón Nicolás.Comparación de microfiltración apico-coronal entre MTA y Biodentine en dientes unirradiculares. Ecuador, 2015; 5(5).

- Malkondu Ôzlem, Karapinar Meriç and Kazazoglu Ende. A review on Biodentine , a contemporary dentine replacement and repair material. Biomed Res Int, 2014; 2014.

- Kaup Markus, Schafer Edgar and Damaschke Till. An in vitro study of different material properties of Biodentine compared to proRoot MTA. Heade face Med, 2015; 11.

- Henryk Paul and Damaschke Till. New treatment option an incomplete vertical root fracture – a preliminary case report. Head face med. 2014; 10: 9.





Protocolo de recubrimiento pulpar directo.

Ricardo Treviño Elizondo, Angélica Gloria Rodríguez Sepúlveda, Sara Angélica Vilchis Rodríguez.



INTRODUCCIÓN
La revisión del caso clínico en un recubrimiento pulpar directo con el objetivo de aplicar los procedimientos clínicos en la terapia odontológica con el uso de hidróxido de calcio.

El recubrimiento pulpar directo es el procedimiento en el cual la pulpa dental expuesta accidentalmente durante la preparación cavitaria o por fractura, es cubierta con un material protector de injurias adicionales, material que simultáneamente estimula la formación de una barrera o puente de dentina reparadora.

El hidróxido de calcio induce la remineralización de la dentina reblandecida, librera de gérmenes la cavidad, estimula la cicatrización, siendo tolerado perfectamente por el órgano pulpar. Por ello, y por otras ventajas este fármaco ha sido aceptado mundialmente como el precursor fundamental en la pulpotomía vital, recubrimiento pulpar directo e indirecto.

PRESENTACIÓN DEL CASO
Se presenta a consulta una paciente joven de sexo femenino, de 11 años de edad, que presenta dolor permanente, en el primer molar inferior derecho. En el estudio radiológico del primer molar inferior derecho (4.6) se observó y se confirmó una zona radiolúcida con comunicación al cuerno pulpar mesial. Clínicamente se observaron caries profunda de 4to grado con destrucción de la pared coronaria vestibular, por cual no existe dolor, sin embargo, el dolor puede llegar a aparecer por las complicaciones de dicha caries y es dolorosa ya que puede provocar un proceso inflamatorio crónico doloroso.

Diagnóstico tentativo: Caries de cuarto grado con pulpitis irreversible generalizada.



Diagnóstico definitivo: Necrosis pulpar sin imagen apical radiográfica.
Plan de tratamiento: Recubrimiento pulpar.
Descripción del tratamiento: Recubrimiento pulpar directo; se realizó bajo anestesia local, aislamiento absoluto, preparación de cavidad con fresa de bola quirúrgica número 4, limpieza de la cavidad, aplicación de hidróxido de calcio en la pulpa expuesta, aplicación de base con hidróxido de calcio (Ultra-Blend) y obturación temporal con toma de radiografía final.



CONCLUSIÓN
El Recubrimiento pulpar es un elemento preventivo que busca otorgarle al diente restaurado la posibilidad de mantener la conservación de la estructura dentaria y el mantenimiento de la vitalidad pulpar, así como conservar así su integridad vital.

El tratamiento de recubrimiento pulpar es un tratamiento simple, en donde no suele haber complicaciones, ya que los materiales son de fácil manipulación y la secuencia lógica de los pasos resulta bastante sencilla.

BIBLIOGRAFÍA
• Rivas Muñoz, Dr. Ricardo. (Agosto, 2016). UNAM. Endodoncia Pediátrica y Endodoncia Geriátrica. Recubrimiento pulpar directo. Obtenido en: http://www.iztacala.unam.mx/rrivas/ articulos/infantil/infantil/terapiapulpar/ensaldocompleto.html

• Cedillo Valencia, Jóse de Jesús y José Eduardo Cedillo Félix. (2013). Protocolo clínico actual para restauraciones profundas. Obtenido en: http://www.medigraphic.com/pdfs/adm/od-2013/od135h.pdf

• Fernández M. Dra. Ana Isabel. (2008). Universidad de Costa Rica. Recubrimiento o encapsulación pulpar. Obtenido en: http://colegiodentistas.org/~colegiod/revista /index.php/ revistaodontologica/article/view/75/152.

• Pereira, José Carlos y Jesús Esteves Barata. (2010). Acta Odontológica Venezolana. Recubrimiento pulpar directo e indirecto: Mantenimiento de la vitalidad pulpar Obtenido en: http://actaodontologica.com/ediciones/2011/1/art14.asp

• Gutiérrez M, Juan, Manuel Romero y Eduardo Ortiz. (Junio, 2000). Universidad Nacional Mayor de San Marcos. Análisis histológico del recubrimiento pulpar directo. Obtenido en: http://revistasinvestigacion.unmsm.edu.pe/index.php/odont/article/view/3678.

• Alcaina Lorente, Antonia, Concepción Germán Cecilia y Amparo Pérez Silva. ( ). Tratamientos pulpares. Obtenido en: http://ocw.um.es/cc.-de-la-salud/clinicaodontologicaintegrada-infantil/material-de-clase-1/protocolo-6.pdf- Kaneko T, Sakaue H, Okiji T, Suda H. Clinical management of dens invaginatus in a maxillary lateral incisor with the aid of cone-beam computed tomography: a case report. Dent Traumatol 2011;27:478–83.

• Roig, Andrés, Jorge Henríqez, Marysol alvear y Luis A. Salazar. (2011). SciElo. Aná lisis morfológico del número de odontoblastos en recubrimientos directos con hidróxido de calcio y propóleos en canes.Obtenido en: http://www.scielo.cl/scielo.php?pid=S0717-95022011000300021&script=sci_arttext&tlng=en.

• Almaíz, Dr. Alejandro. (2014). Universidad Central de Venezuela. Recubrimiento pulpar. Obtenido en: http://www.odontologia-online.com/publicaciones/endodoncia/108-recubrimiento-pulpar.html

Libros
• Angela Lamura, Graciela Lamura. Interrogatorio y Anamnesis.Editorial Disinlimed. Julio 1996. Caracas.

• L.Baum, R.Phillips y M, Lund. 'Tratado de Operatoria Dental' Editorial Interamericana, segunda edición, 1996, México, D.F.

• Angel Lasala. Endodoncia Salvat Editores, 3° edición. 1985, Venezuela, Zulia.





Reabsorción radicular externa.

Roberto Sánchez Romo, Karen Lucía Reyes González, Susana Coromoto Gómes Acevedo.


Posgrado de Endodoncia, Facultad de Odontología, Universidad Autónoma de Nuevo León.


INTRODUCCIÓN
La reabsorción radicular externa (RRE) representa un reto de la especialidad endodóntica y se desarrolla como consecuencia de un proceso inflamatorio establecido en el ligamento periodontal. La etiología más frecuente es el traumatismo dental que consecuentemente causa lesión en el ligamento periodontal, necrosis pulpar e infección subsecuente. Sin embargo, la RRE también puede ser causada por, movimientos ortodónticos, bruxismo, así como el uso de peróxido de hidrógeno en un blanqueamiento dental interno.

PRESENTACIÓN DEL CASO
En la primera cita se determinaron longitudes de trabajo y se irrigó 20 ml de hipoclorito al 2.5% posteriormente se colocó hidróxido de calcio y se citó a la paciente un mes después para evaluar signos y síntomas. En la segunda cita, la paciente se presentó asintomática, se irrigo con suero fisiológico y se terminó el protocolo de irrigación con EDTA (detallar protocolo) y se activó la irrigación ultrasónica pasiva 4 ciclos de 30 segundos cada uno, se terminó con irrigación de suero fisiológico, se secó con puntas de papel y se indujo el sangrado del conducto para inducir la revascularización

CONCLUSIÓN
La detección de la RRE es de vital importancia para la ejecución del tratamiento oportuno del órgano dental afectado, en el presente caso la sintomatología desapareció y actualmente se encuentra en citas de control.

BIBLIOGRAFÍA
- Patel S, Pitt Ford T. Is the resorption external or internal, Dent Update. 2007;34:218–29.

- Andreasen J. Backland I. Pathologic tooth resorption In: Ingle J, Bakland L, Baum Gartner J, eds. Ingle´sEndodontic. Hamilton, ON, Canada: BC Decker; 2008:1358-82.

- External cervical resorption case report and a brief review of literature Nizar Ahmed, Gopalakrishnan, [...], and Harinath Parthasarthy Raldi DP, Mello I, Habitante SM, Large-Marques JL, Coil J. Treatment options fot teeth with open apices and apical periodontitis. J. Can Dent Assoc. 2009,75:591-6.





Reabsorción radicular externa. Presentación de un caso clínico.

Adriana Garza De La Garza, Iris Liliana Espinoza García, Fanny López Martínez.


Posgrado de Endodoncia, Facultad de Odontología, Universidad Autónoma de Nuevo León.


INTRODUCCIÓN
La resorción externa por presión (RREP) consiste en una pérdida de tejido dentinario y cementario de las raíces dentarias que se origina a nivel del ligamento periodontal, ocasionada por presiones prolongadas y mantenidas sobre la raíz. Presentamos un caso con su repercusión y tratamiento.

PRESENTACIÓN DEL CASO
Paciente masculino de 63 años de edad, referido del Posgrado de Periodoncia. Acudió a consulta debido a que presentaba aumento de volumen en la encía.
Diagnóstico: Necrosis pulpar con reabsorción radicular externa en pieza 4.7.
Tratamiento: Se realizó tratamiento de conductos en la pieza 4.7. El tratamiento se llevó a cabo en dos citas. En la primera cita se tomó longitud de trabajo y se instrumentaron los conductos con el protocolo de irrigación y se colocó hidróxido de calcio, debido a la necrosis. En la segunda cita se realizó la conometría y se obturaron los conductos con Ah Plus y técnica de obturación lateral.
Resultados: Se dieron dos citas de control y la pieza tuvo un pronóstico favorable, la lesión apical cicatrizó.

CONCLUSIÓN
En el diagnóstico de reabsorción radicular externa reviste vital importancia el uso de radiografías y la anamnesis, ya que solo a través de ellas será posible identificar los diferentes factores que pudieran ocasionar la reabsorción radicular externa, lo cual redundará en una mejor atención a los pacientes y en muchos casos abstenernos de realizar un tratamiento.


BIBLIOGRAFÍA
- Puy, M. C. L., Lorenzo, J. A., & Navarro, L. F. (2002). Reabsorción radicular externa idiopática asociada a hipercalciuria. Medicina Oral, 7(3), 192-9.

- Rodríguez Romero, F. J., Rodríguez Sánchez, M., & Rodríguez Rodríguez, B.
(2008). Reabsorción radicular de incisivos laterales superiores en relación con la erupción ectópica de caninos: Presentación de dos casos. Avances en Odontoestomatología, 24(2), 147-156.

- Echave Krutwig, M., & Argote Ilardia, I. (2002). El tratamiento ortodóncico y la reabsorción radicular. Revisión bibliográfica. Revista Española de Ortodoncia, 32(4), 325-331.

- Maroto-Edo, M., Barbería-Leache, E., & Planells del Pozo, P. (2004). Estudio clínico del agregado trióxido mineral en pulpotomías de molares temporales: estudio piloto a 15 meses. Rcoe, 9(1), 23-30.





Regeneración endodóntica. Presentación de un caso clínico.

Anahí Recendes Santillán, Jorge Jaime Flores Treviño, Elizabeth Madla Cruz.


Posgrado de Endodoncia, Facultad de Odontología, Universidad Autónoma de Nuevo León.


INTRODUCCIÓN
La Regeneración Endodóntica es un tratamiento que a pesar de no ser de reciente aplicación, ha ido evolucionando en vías de mejorar la calidad y el éxito de los casos clínicos en los que se indica e implementa.

PRESENTACIÓN DEL CASO
Paciente femenino de 8 años de edad que acude con fístula extraoral a nivel del cuadrante 3, hace un mes ha tenido un aumento de volumen submaxilar; se detecta que la pieza problema es la 3.6. En la prueba de percusión responde positivo, a la palpación y sensibilidad negativo, indicando Necrosis Pulpar.

Debido a que es una pieza inmadura con ápices abiertos y la paciente es joven, se indica el Tratamiento de Regeneración Endodóntica.

En la primera cita se irrigó con Hipoclorito de Sodio al 5.25% con 30 ml por conducto, se colocó pasta doble un mes después radiografía de control; se continuó irrigando ahora con 10 ml de Hipoclorito y se hizo después una punción en la parte apical para la formación del coágulo y se colocó un tapón de MTA. Actualmente está asintomático y ya hay cambios radiográficos.

CONCLUSIÓN
La Regeneración Endodóntica promete y ha venido a ser un tratamiento que empieza a revolucionar la Endodoncia y que promete seguir perfeccionándose para dar con un protocolo más preciso y certero en los puntos que todavía son perfectibles.


BIBLIOGRAFÍA
- Law A. S, Considerations for Regenerative Procedures, J.Endod. 2013 March; 39(3): S44-S56.

- Hargreaves K.M., Diogenes A, Teixeira F.B., Treatment Options: Biological Basis of Regenerative Endodontic Procedures. J Endod. 2013 Mar;39(3 Suppl):S30-43. doi: 10.1016/j.joen. 2012.11.025.

- Dabbagh B, Alvaro E, Vu DD, Rizkallah J, Schwartz S. Clinical complications in the revascularization of immature necrotic permanent teeth. Pediatr Dent. 2012 Sep - Oct;34(5):414-417.

- Egusa H, Sonoyama W, Nishimura M,. Stem cells in dentistry: part I—stem cell sources. J Prosthodont Res 2012;56:151–165.

- Iwaya SI, Ikawa M, Kubota M. Revascularization of an immature permanent tooth with apical periodontitis and sinus tract. Dent Traumatol. 2001 Aug;17(4):185-187.





Regeneración pulpar en incisivo central superior. Reporte de un caso.

Adriana Briseyda Peña Bolaños, Gabriela Serna Peña, Mayra Guadalupe Martinez García.


Posgrado de Endodoncia, Facultad de Odontología, Universidad Autónoma de Nuevo León.


INTRODUCCIÓN
La revascularización es un tratamiento regenerativo con enfoque biológico alternativo para tratar dientes inmaduros con pulpa necrótica por caries o traumatismos.

PRESENTACIÓN DEL CASO
Paciente femenino de 15 años, se presenta a consulta con traumatismo de hace aproximadamente 6 años, comenta haberse golpeado en el piso, acude a dentista particular donde colocaron una pasta.
Diagnóstico: lesión periapical asintomática del OD 1.1, el cual se determinó mediante pruebas radiográficas y de sensibilidad.
Tratamiento: se inició tomando longitud de trabajo 18 mm, se irrigó con NaOCl fueron 3 jeringas por conducto, se colocó pasta doble antibiótica (ciprofloxacina y metronidazol). Se dio una segunda cita donde retiramos la pasta, se secó con puntas de papel, se indujo el sangrado para formar coágulo con una lima #45, se colocó Gelfoam y después MTA blanco todo en la parte cervical del OD, colocamos algodón húmedo, teflón y cemento Ionómero de Vidrio como obturación provisional.
Resultados: Con este tratamiento se espera la resolución de la lesión periapical y el cierre apical del conducto.

CONCLUSIÓN
Los dientes permanentes con formación incompleta de las raíces son un reto importante en la práctica de la endodoncia, se puede concluir que la revascularización pulpar es un procedimiento viable que permite el desarrollo radicular y el engrosamiento de las paredes dentinarias; no obstante, el procedimiento es algo impredecible, por lo que se requiere establecer protocolos estandarizados para el tratamiento de dientes con ápices abiertos con necrosis pulpar y un posterior control a largo plazo.


BIBLIOGRAFÍA
- Law A. S, Considerations for Regenerative Procedures, J.Endod. 2013 March; 39(3): S44-S56.

- Hargreaves K.M., Diogenes A, Teixeira F.B., Treatment Options: Biological Basis of Regenerative Endodontic Procedures. J Endod. 2013 Mar;39(3 Suppl):S30-43. doi:10.1016/j.joen. 2012.11.025.

- Bertó Botella, A., & Miñana Laliga, R. (2005). Revascularización pulpar en dientes permanentes inmaduros con periodontitis apical. Endodoncia, 23(3), 177-187.

- Guzmán, N. M. (2016). Revascularización pulpar en dientes permanentes con periodontitis apical. Gaceta dental: Industria y profesiones, (276), 122-130.

- Bustos Orozco, I. L. Revascularización pulpar en dientes permanentes con ápice abierto por medio de la utilización de plasma rico en plaquetas en combinación con soportes de colágeno tipo I.: estudio descriptivo (Doctoral dissertation, Universidad Nacional de Colombia).





Revascularización pulpar con irrigante alternativo en dos órganos dentarios con formación radicular incompleta.

Elma María Vega Lizama, Alberto Eduardo Escamilla Rodríguez, Marco Antonio Ramírez Salomón.


Universidad Autónoma de Yucatán.


INTRODUCCIÓN
La revascularización asume como objetivo el restablecimiento de la vascularidad en un tejido. En odontología se introdujo recientemente para el tratamiento de dientes permanentes inmaduros necróticos como una alternativa novedosa para los tratamientos de apicoformación.

PRESENTACIÓN DEL CASO
Paciente femenino de 9 años de edad de Valladolid, Yucatán, sin antecedentes patológicos sistémicos; que acude a la Clínica de Endodoncia de la UADY refiriendo traumatismo dental de 4 meses de antigüedad. Clínicamente presentó movilidad y estoma adyacente al diente 2.1, los incisivos anterosuperiores respondieron negativamente a las pruebas térmicas. Radiográficamente se observó formación radicular incompleta y lesiones periapicales en los incisivos centrales superiores.
Plan de tratamiento: revascularización en los órganos dentarios 2.1 y 1.1 y su posterior restauración. Se realizó el protocolo según Trope con dos modificaciones; se reemplazó el hipoclorito de sodio por la solución de agua superoxidada con pH neutro y se disminuyó el tiempo de irrigación de 20 a 5 minutos. A la semana del tratamiento inicial se observó que el estoma remitió, la movilidad cesó y la paciente se encontraba asintomática, se continuó el tratamiento. En los controles realizados durante 22 meses, la paciente se encontró asintomática, se observó el cierre apical del 1.1 y aumento de la porción radicular y disminución de la lesión apical en el 2.1.

CONCLUSIÓN
Este tratamiento con 22 meses de control presenta un éxito clínico y radiográfico, por lo que se recomienda continuar investigando empleando esta técnica ya que utiliza una solución biocompatible que eficienta el tiempo de trabajo.


BIBLIOGRAFÍA
- Trope M. Regenerative Potential of Dental Pulp. J. Endod. 2008;34(7):13-17.

- Cotti E, Mereu M, Lusso D. Regenerative treatment of an immature, traumatized tooth with apical periodontitis: report of a case. J. Endod. 2008;34(5):611–6.

- Gu L, Kim JR, Ling J, Choi KK, Pashley DH, Tay FR. Review of contemporary irrigant agitation techniques and devices. J. Endod. 2009;35(6):791–804.

- Lin LM, Ricucci D, Huang GT. Regeneration of the dentine – pulp complex with revitalization/ revascularization therapy : challenges and hopes. 2014;47:713–24.

- Simon SRJ, Tomson PL, Berdal A. Regenerative endodontics: Regeneration or repair? J Endod. 2014;40(4):4–9.

- Law AS. Considerations for regeneration procedures. J. Endod. 2013;39 (3 Suppl):S44–56.

- Murray PE, Garcia-Godoy F, Hargreaves KM. Regenerative endodontics: a review of current status and a call for action. J. Endod. 2007;33(4):377–90.





Revascularización: Reporte de un caso clínico.

Carlos Javier Avendaño Cantú, Fanny López Martínez, Patricia Olivares Ponce.


Departamento de Endodoncia, Facultad Odontología, Universidad Autónoma de Nuevo León.


INTRODUCCIÓN
El daño pulpar como consecuencia de traumatismos o caries en dientes inmaduros puede conducir a la pérdida de la vitalidad y a la interrupción del desarrollo radicular, dando como resultado raíces cortas con paredes delgadas con riesgo a la fractura radicular. La revascularización es un tratamiento regenerativo con un enfoque biológico para dientes inmaduros con pulpa necrótica causada por caries o traumatismos que, a diferencia de la apicoformación, permite el desarrollo radicular continuo.

PRESENTACIÓN DEL CASO
Paciente masculino 9 años llega a consulta con dolor espontáneo en la arcada inferior izquierda, en la exploración extraoral presentaba asimetría facial. A la exploración intraoral se observó caries en la pieza 3.4 y aumento de volumen en la zona periapical. Al hacer pruebas de sensibilidad respondió positivo a la percusión, palpación y negativo al frío. Radiográficamente se observó una lesión periapical y la incompleta formación de la raíz de la pieza 3.4 además de ensanchamiento del ligamento periodontal.
Diagnóstico: Necrosis Pulpar y Periodontitis Apical Aguda.
Tratamiento: En la primera cita se trabajó sin anestesia, se aisló y se eliminó caries, se tomó cavometría hasta donde sentía sensibilidad, irrigando con hipoclorito de sodio 5.25% se colocó pasta triple antibiótica (metronidazol, minociclina y ciprofloxacina) y se colocó Cavit, en la siguiente cita regresó asintomático y se eliminó la pasta, se indujo sangrado inundando el conducto y se colocó un tapón de MTA.

CONCLUSIÓN
La revascularización pulpar es un procedimiento viable que permite el desarrollo radicular y el engrosamiento de las paredes dentinarias; no obstante el procedimiento es impredecible.


BIBLIOGRAFÍA
- Kim DS, Park HJ, Yeom JH, Seo JS, Ryu GJ, Park KH, Shin SI, Kim SY. Long term fellow-ups of revascularized immature necrotic teeth: three case reports. Int J Oral Sci.2012; 4 (2): 109-113.

- Cehreli ZC, Sara S, Aksoy B. Revascularization of Immature permanent incisors after severe extrusive luxation injury. J Can Dent Assoc. 2012; 78: c4.

- Torabinejad M, Turman M. Revitalization of tooth with necrotic pulp and open apex by using platelet-rich plasma: A case report. J Endod.2011; 37(2): 265-268.

- Keswani D,Pandey RK. Revascularization of an immature tooth with a necrotic pulp using platelet-rich fibrin: a case report. Int. Endod J. 2013; 46(11): 1096-1104.

- Trope M. Treatment of the immature tooth with a non-vital pulp and apical periodontitis. Dent Clin North Am 2010; 54:313-24.





Tapón apical de Biodentine en el fragmento coronal en fractura radicular horizontal.

María Eugenia López Villanueva, Adilene Rodríguez Ramírez, Elma María Vega Lizama.


Especialidad en Endodoncia, Universidad Autónoma de Yucatán.


INTRODUCCIÓN
La frecuencia de las fracturas radiculares es menor al 3% de todas las lesiones dentales traumáticas, es responsable del 1% de las pérdidas de la dentición permanente. En las fracturas horizontales ocurre un desplazamiento del segmento coronal que generalmente contrasta con la falta de desplazamiento de la porción apical. En dientes con ápices abiertos está indicada la colocación de una barrera apical, un material de reciente utilización es el BIODENTINE, ya que ofrece bioactividad y propiedades de sellado excelente.

PRESENTACIÓN DEL CASO
Paciente femenino de 35 años de edad, acudió a la FOUADY por presentar un “granito en la encía”. Refiere haber sufrido un traumatismo hace 19 años, le realizaron tratamiento endodóntico en esa ocasión, 16 años después la paciente presenta inflamación en la zona anterosuperior. Clínicamente, se observó un tracto sinuoso proveniente del OD 2.1, respondió positivo a la percusión, y negativo a la palpación, no presentó movilidad, sondeo normal. Radiográficamente se observó fractura radicular horizontal con desplazamiento del tercio apical y una zona radiolúcida entre los dos segmentos. Diagnóstico: absceso apical crónico. Plan de tratamiento: Realización de barrera apical con Biodentine.

CONCLUSIONES
El éxito o buen pronóstico de la fractura radicular horizontal depende en gran medida de un acertado diagnóstico y tratamiento en el momento inmediato al trauma, así como de la elección del material a utilizar.


BIBLIOGRAFÍA
- Majorana A, Pasini S, Bardellini E, Keller E. Clinical and epidemiological study of traumatic root fractures. Dent Traumatol 2002;18:77– 80.

- Andreasen, J.O. and Hjørting-Hansen, E. Intra-alveolar root fractures: radiographic and histologic study of 50 cases. J Oral Surg. 1967; 25: 414–426.

- Diangelis, A.J., Andreasen, J.O., Ebeleseder, K.A. et al. International Association of Dental Traumatology guidelines for the management of traumatic dental injuries: 1. Fractures and luxations of permanent teeth. Dent Traumatol. 2012; 28:2–12.

- Cvek M, Mejare I, Andreasen JO. Conservative endodontic treatment of teeth fractured in the middle or apical part of the root. Dent Traumatol 2004; 20:261–9.

- Gabriela Martin. Apical Closure in Apexification: A Review and Case Report of Apexification Treatment of an Immature Permanent Tooth with Biodentine. J Endod 2016; 42:730–734.

- Eid AA, Komabayashi T, Watanabe E, et al. Characterization of the mineral trioxide aggregate-resin modified glass ionomer cement interface in different setting conditions. J Endod 2012;38:1126–9.

- Lee BN, Lee KN, Koh JT, et al. Effects of 3 endodontic bioactive cements on osteogenic differentiation in mesenchymal stem cells. J Endod 2014;40:1217–22.





Tratamiento endodóntico en un diente con el Síndrome del Diente Fisurado. Reporte de un caso.

Juan Francisco Ojeda Juárez, José Urian Llanas Ortiz, Idalia Rodríguez Delgado.


Posgrado de Endodoncia, Facultad de Odontología, Universidad Autónoma de Nuevo León.


INTRODUCCIÓN
La incidencia en órganos dentarios con el Síndrome del Diente Fisurado ha aumentado, por lo que se debe estar atentos a los signos y síntomas característicos de este síndrome para tener un diagnóstico acertado y así ofrecerle al paciente el tratamiento adecuado.

PRESENTACIÓN DEL CASO
Acude a la consulta un paciente masculino de 42 años de edad que presentaba dolor provocado con lo frío en la pieza 3.6.
Diagnóstico: Al realizar las pruebas de sensibilidad pulpar y percusión se diagnosticó al paciente con necrosis pulpar y al realizar la prueba de mordida se diagnosticó el Síndrome
del Diente Fisurado.
Tratamiento: Se comenzó con el tratamiento de conductos y se detectó la fisura en el conducto distal por medio del uso del cloruro de metiltionina y el microscopio. Se determinó
la longitud de trabajo para instrumentar con limas Flex R y se irrigó con hipoclorito de sodio. Se colocó hidróxido de calcio como medicamento intraconducto y se le indicó al paciente tomar antibiótico. En la siguiente cita se retiró el hidróxido de calcio y se obturaron los conductos con la técnica de condensación lateral combinada con vertical con gutapercha, cemento AHPlus.

CONCLUSIÓN
Gracias al microscopio se localizó la fisura, lo que permitió reafirmar nuestro diagnóstico e hizo posible el manejo adecuado del caso; obteniéndose un mejor pronóstico, siempre y cuando la restauración de esta pieza ofrezca protección cuspídea. En el presente resumen se presentó el caso de una pieza con el Síndrome del Diente Fisurado, donde se logró la resolución de la sintomatología.


BIBLIOGRAFÍA
- Opdam NJ, Roeters JM. The effectiveness of bonded composite restorations in the treatment of painful, cracked teeth: six-month clinical evaluation. Oper Dent. 2003; 28: 327-333.

- Qian Yunzhu, Zhou Xuefeng, Yang Jianxin. Correlation between cuspal inclination and tooth cracked syndrome: a three-dimensional reconstruction measurement and finite element analysis. Dental Traumatology 2013; 29: 226–233; doi: 10.1111/j.1600-9657.2012.01160.x

- Seo Deog-Gyu, Yi Young-Ah, Shin Su-Jung Shin and Park Jeong-Won. Analysis of Factors Associated with Cracked Teeth. J Endod 2012; 38: 288– 292.

- Signore A, Benedicenti S, Covani U, Ravera G. A 4- to 6-year retrospective clinical study of cracked teeth restored with bonded indirect resin composite onlays. Int J Prosthodont 2007; 20: 609–16.

- Tamse, A; Zilburg y J, Halpern. Vertical root fractures in adjacent maxillary premolars: and endodontic-prosthetic perplexity. International Endodontic Journal. 1998; 31: 127-32.

- Tan L, Chen N N, Poon C Y, Wong H B. Survival of root filled cracked teeth in a tertiary institution. Int Endod J 2006; 39: 886-889.





Tratamiento endodóntico quirúrgico de un quiste periapical.

Jessica Patricia Arellano Barrientos, Jorge Jaime Flores Treviño, Idalia Rodríguez Delgado.


Posgrado de Endodoncia, Posgrado de Cirugía Maxilofacial, Facultad de Odontología, Universidad Autónoma de Nuevo León.


INTRODUCCIÓN
Los quistes periapicales aparecen en un 6-55% de los casos con radiolucidez periapical, se desarrollan por contacto crónico con pulpa necrótica y generalmente requieren remoción quirúrgica.

PRESENTACIÓN DEL CASO
Paciente masculino de 61 años acudió por aumento de volumen en palatino de 2.1, 2.2 y 2.3 con más de 5 años de evolución y fístula activa por bucal entre 2.2 y 2.3. Radiográficamente se apreció endodoncia en 2.1 y 2.2; y zona radiolúcida que abarca 2.1, 2.2 y 2.3. Piezas 2.1 y 2.2 resultaron positivas a percusión mientras que 2.3 no respondió a sensibilidad térmica.
Diagnóstico: Enfermedad post-tratamiento en 2.1 y 2.2, necrosis pulpar en 2.3 y quiste periapical secundariamente infectado.
Tratamiento: Endodoncia en pieza 2.3 y retratamiento ortógrado seguido de cirugía de 2.1 y 2.2. Durante instrumentación de 2.2 se presenta salida de material purulento, repitiéndose en 3 visitas más. Se colocan tapones apicales de MTA de 5 mm de grosor y 48 horas después se comprueba endurecimiento. Se realiza CBCT comprobándose pérdida ósea palatina y perforación de la cortical bucal. Se decidió retirar quiste mediante enucleación y apicectomía de 2.1 y 2.2. Se colocó hueso liofilizado y membrana de colágena para favorecer la regeneración. El análisis patológico corrobora diagnóstico.
Resultados: El paciente acude asintomático y con rehabilitación completa luego de 8 meses de la cirugía.

CONCLUSIONES
Los quistes periapicales son patologías de origen endodontal que comprometen a las piezas afectadas por lo que el endodoncista debe ser capaz de diagnosticar y ofrecer un plan de tratamiento adecuado.


BIBLIOGRAFÍA
- Sood N, Maheshwari N, Gothi R, Sood N. Treatment of Large Periapical Cyst Like Lesion: A Noninvasive Approach: A Report of Two Cases. Int J Clin Pediatr Dent. 2015;8(2):133-7/2.

- Gassling VL, Açil Y, Springer IN, Hubert N, Wiltfang J. Platelet RICH plasma and platelet-rich fibrin in human cell culture. Oral Surg Oral Med Oral Pathol Oral Radiol Endod. 2009;108:48–55./

- Bava FA, Umar D, Bahseer B, Baroudi K. Bilateral radicular cyst in mandible: an unusual case report. J Int Oral Health. 2015;7(2):61-3. / 4

- Szekeres G, Tamás W, Nemes J, Tóth Z. Complex treatment of a large radicular cyst in the anterior region of the maxilla. Case report. Fogorv Sz. 2015;108(3):87-92. /

- Dhillon JS, Amita, Saini SK, Bedi HS, Ratol SS, Gill B. Healing of a large periapical lesion using triple antibiotic paste and intracanal aspiration in nonsurgical endodontic retreatment. Indian J Dent. 2014;5(3):161-5 /

- Nica D, Ianes E, Brad S. CBCT fine preoperative evaluation of inflammatory radicular cysts and postoperative local integration appreciation of alloplastic grafts materials. Rev Med Chir Soc Med Nat Iasi. 2014;118(3):828-32.



Autores de correspondencia:
Colegio de Endodoncia de Nuevo León, A. C.
Dr. Héctor Jiménez González.
carteles@cenl.com.mx
Dra. Fanny López Martínez.
fannylopezendodoncia@yahoo.com
Dra. Patricia N. Olivares Ponce.
paty.olivares@hotmail.com


Fecha recibido: 15 de Noviembre de 2016.
Fecha aceptado para publicación: 30 de Noviembre de 2016.

 


El contenido del presente suplemento "Memorias del Segundo Concurso de Carteles del Colegio de Endodoncia de Nuevo León, A. C." es responsabilidad de los organizadores de dicho evento, la Revista Mexicana de Estomatología es ajena al contenido científico, metodológico y de autoría de cada uno de los resúmenes que se presentan. El Suplemento se publica como apoyo a las agrupaciones de profesionales, profesionistas, estudiantes, maestros e instituciones educativas y/o de servicio en la difusión de sus trabajos.


Revista Mexicana de Estomatología.
Vol 2, No 3- Suplemento - Diciembre 30 de 2015.
ISSN: 2007-9052

www.remexesto.com


 



ISSN: 2007-9052

Indexada en Latindex.

Indexada en Google académico.

Indexada en INFOMED - Cuba.

Indexada en REDIB - España.

Http:www.remexesto.com

 


Contador y estadísticas gratis para su sitio web en www.motigo.com